文章详情
【无痛微创】跨越“人生最后一次骨折”!北医三院秦皇岛医院骨科成功实施首例保留短外旋肌群改良后入路半髋置换术
  髋部骨折,常被称为老年人的“人生最后一次骨折”。对于伴有多种严重基础疾病的高龄老人来说,这更是一道凶险的“鬼门关”。近日,北医三院关节外科专家李锋教授与北医三院秦皇岛医院骨科团队强强联合,成功为一位87岁高危老人实施了秦皇岛医院首例保留短外旋肌群(Quadriceps Coxa)的改良后入路半髋关节置换术。这项新技术的成功开展,标志着北医三院秦皇岛医院在老年髋部骨折的微创、无痛、快速康复治疗上迈上了新的台阶!
 
87岁奶奶意外摔倒,危重病情让家属揪心

  数天前,87岁的王奶奶(化名)不慎摔倒,导致左髋部剧痛,完全无法站立和行走。在家属的紧急护送下,老人来到了北医三院秦皇岛医院就诊。经过详细的术前检查,王奶奶被确诊为“左侧股骨颈骨折”。

   
  然而,摆在医生和家属面前的难题,不仅仅是骨折本身。王奶奶的身体状况可以用“如履薄冰”来形容。病历显示,老人不仅患有重度骨质疏松,更合并了多项极其严重的心肺疾病:冠心病、主动脉及冠状动脉钙化;双肺气肿合并肺大泡、间质性肺病、慢性左下叶肺炎、肺结节;呼吸性碱中毒、左肾囊肿。
  对于这样一位心肺功能极差的超高龄老人,如果选择保守治疗卧床,极易引发坠积性肺炎、下肢静脉血栓、褥疮等致命并发症;但如果进行手术,麻醉风险和手术创伤同样是巨大的考验。

强强联合,引入微创新理念破局

  为了让王奶奶尽快站起来,减轻痛苦并挽救生命,北医三院秦皇岛医院骨科团队迎难而上。北医三院李锋教授亲自参与会诊与手术规划。经过缜密的术前讨论,专家团队决定为王奶奶实施一项先进的微创术式:保留短外旋肌群(Quadriceps Coxa)的改良后入路半髋关节置换术。

 
科普时间,什么是“保留短外旋肌群”的改良入路?

  传统的后入路髋关节置换手术,需要切断患者髋关节后方的一组重要肌肉——短外旋肌群,术后再进行缝合。这不仅增加了创伤,术后早期也容易发生关节脱位。文献指出约75%的短外旋肌群修复在术后3个月内失败。
  而保留短外旋肌群改良后入路是一项前沿技术。医生在手术中通过精细的操作,不切断这些关键的肌肉群,直接在肌肉间隙中完成假体的安装。它真正做到了肌肉“零切断”,不仅创伤小、出血少,还极大保留了髋关节后方的动态稳定性,让术后脱位率有效下降。

 
多学科护航,多模式镇痛创下“VAS评分0分”奇迹!

  除了顶尖的外科手术技术,如何让心肺功能极差的高龄老人平稳度过手术关、免受疼痛折磨,同样是重中之重。为此,麻醉团队与骨科团队打出了一套漂亮的“多模式无痛康复”组合拳。
•超前镇痛:北医三院秦皇岛医院骨科关节组已将超前镇痛方案作为诊疗的标准化流程之一;
•精准阻滞:北医三院秦皇岛医院麻醉团队术前采用了超声引导下髂筋膜阻滞,精准阻断疼痛传导通路;
•局部强化:配合术中关节周围的局麻药浸润镇痛;
•微创加持:结合保留短外旋肌群的极小创伤术式,从源头上大幅减少了组织损伤带来的致痛因子。
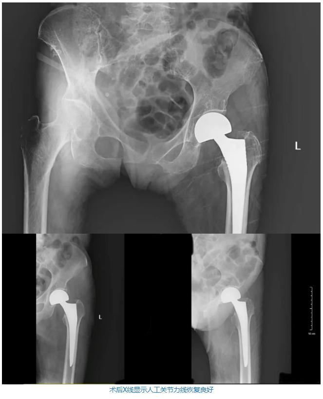
  在这套“无痛组合拳”的保驾护航下,李锋教授与秦皇岛医院骨科团队默契配合,顺利取出了骨折的股骨头,并稳稳地植入了人工半髋假体,全程出血量极少。

  
  最令人惊喜的是,王奶奶术后回到病房时,完全没有感受到传统骨科大手术后的剧烈疼痛!经医护人员评估,老人的术后疼痛评分(VAS评分)基本达到了0分(完全无痛)! 真正做到了让老人“不遭罪”,为术后的极早期下地活动和快速康复(ERAS)扫清了最大的障碍。

筑就区域医疗高地,造福港城百姓

  此次保留短外旋肌群改良后入路半髋置换术在秦皇岛医院的首次成功实施,不仅成功挽救了高危高龄骨折患者的生命质量,更彰显了北医三院优质医疗资源下沉为患者带来的切实福利。
  未来,北医三院秦皇岛医院骨科将继续依托北医三院强大的技术支撑,不断开展国内前沿的新技术、新疗法,用微创、无痛、快速的治疗与康复服务,为广大港城及周边百姓的骨骼关节健康保驾护航!

返回列表