文章详情
耄耋之年遇脑梗,微创介入启新生——神经血管介入科成功为高龄急性脑梗死老人实施脑血管介入手术
  “技术就是保证,时间就是生命。”对于急性脑梗死患者,尤其是高龄、合并多种基础疾病的老年人,每一分钟的延误都可能意味着永久的偏瘫甚至生命的消逝,治疗方案的抉择更需如履薄冰的精准与勇气。近日,北京大学第三医院秦皇岛医院神经血管介入科凭借精湛技术与责任担当,成功为两名高龄急性脑梗死老人实施脑血管介入手术,将他们从死亡边缘拉回,彰显了科室在脑血管急危重症救治领域,特别是高龄老人诊疗方面的区域领先水平。
 
 
八旬老人双侧颈内动脉闭塞
介入团队勇破“生命禁区”
 
  年逾八旬的申大爷因“左侧肢体无力”入院,住院期间症状持续加重,手术当日突发昏迷。脑动脉核磁检查结果令人揪心:双侧颈内动脉闭塞、右侧椎动脉闭塞,结合入院时影像提示左侧颈内动脉为“新近急性闭塞”。尽管颅内血管代偿机制一度维持了部分供血,但药物治疗已无法遏制病情进展,唯一的希望是通过介入手术开通闭塞血管。

 
  然而,老人高龄、颅内血管条件极差,手术难度与风险极高。神经血管介入科团队与家属充分沟通后,面对家属“把老人交给你们”的信任度,毅然决定迎难而上。手术团队在显微镜下精细操作,历经近2小时奋战,成功开通闭塞的左侧颈内动脉。术后第二天,申大爷顺利苏醒,肢体活动力量明显恢复,经过专业围手术期护理,目前已转入康复阶段。
 
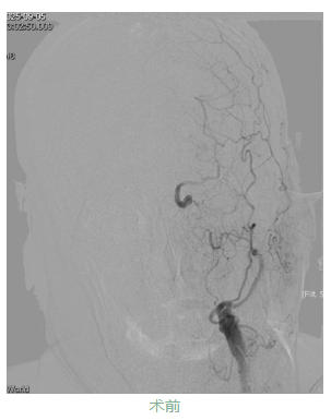
九旬老人“脑动脉迂曲”再挑战
支架植入重燃生活希望
 
  九旬的韩大爷因“言语不利、右侧肢体无力5小时”急诊入院,脑核磁显示左侧大脑半球大面积新发脑梗死,左侧颈内动脉急性闭塞。王振兴主任团队仔细研判影像发现:尽管梗死面积大,但缺血区域内仍有大量“可挽救的脑组织”——若能快速开通血管,韩大爷极有可能恢复独立生活能力。

 
  家属透露,韩大爷2年前曾因左侧颈内动脉重度狭窄就诊于北京某医院,因血管走行极度迂曲、当时手术材料限制,未能成功植入支架。此次急性闭塞正是在“慢性狭窄基础上,因诱因导致急性闭塞”,缺血脑组织尚未完全坏死,但症状仍在持续加重。手术团队再次面临考验:韩大爷血管迂曲如“九曲十八弯”,基础病多,术中稍有不慎便可能引发致命并发症。

  凭借丰富经验与先进介入技术,医生精准操控导管、导丝,克服重重障碍,历经2个多小时成功开通闭塞血管,并顺利植入一枚支架。术后第2天,韩大爷右侧肢体功能显著恢复,经过半个月综合治疗,目前已转入康复阶段,生活自理能力逐步提升。


 
高龄不是“禁区”!
精准评估+精细操作改写预后
 
  对于高龄脑梗死患者,传统保守治疗虽风险较低,却常导致严重后遗症(如长期卧床、生活质量丧失);而血管内介入治疗虽能“直达病灶、高效再通”,但患者血管脆弱、基础病多,术中术后出血、再闭塞风险极高,对团队技术、经验及围手术期管理是全方位考验。

   超高龄手术的成功实施,打破了“年龄是血管再通绝对禁忌”的传统认知。神经血管介入科团队医生通过严格术前评估、精细化手术操作、全程多学科管理,高龄患者同样能安全接受介入治疗,重获高质量生活。
 
守护港城“心脑”健康
北医三院秦皇岛医院责无旁贷
 
  北医三院秦皇岛医院神经血管介入科依托北医三院总部技术支持,持续提升脑血管疾病“预防-急救-治疗-康复”全链条综合救治能力。未来,科室将继续以“患者至上”为宗旨,为港城及周边地区群众提供高效、精准、优质的神经血管疾病诊疗服务,用技术与责任守护每一位患者的“大脑生命线”!
返回列表