天气变凉,急性心肌梗死患者明显增加。近日,48岁的张先生突发急性心肌梗死,在秦皇岛军工医院急诊科、心血管内一科、介入中心的高效快速救治下,进行了冠状动脉造影术及冠脉支架置入术,转危为安。
事发前一天,张先生出现发作性胸背部疼痛症状,自认为“受风”,拔罐治疗。没想到第二天再次出现剧烈胸痛,伴有大汗,症状持续不缓解,紧急来到军工医院急诊科就诊。急诊医生第一时间为张先生进行相关检查,心电图结果显示为急性前壁心肌梗死,情况十分危急,随时都有发生恶性心律失常、心衰、甚至心脏骤停风险。
心血管内一科副主任石琳接到电话后立即赶往急诊科查看患者病情,“是急性心肌梗死!必须立刻为患者行急诊PCI手术!”刻不容缓,石琳与患者家属沟通病情并征得同意后,紧急通知介入中心迅速进行术前准备,为患者开启绿色通道。
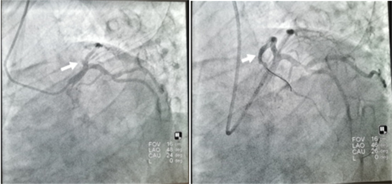
石琳与马斌医生共同为患者进行了冠脉造影检查,术中发现前降支开口100%闭塞并植入支架一枚,从接诊到支架植入仅耗时四十分钟。术后患者恢复良好,目前已康复出院。 
医疗科普: 急性心肌梗死是冠状动脉急性、持续性缺血缺氧所引起的心肌坏死。临床上多有剧烈而持久的胸骨后疼痛,休息及硝酸酯类药物不能完全缓解,伴有血清心肌酶活性增高及进行性心电图变化,可并发心律失常、休克或心力衰竭,常可危及生命。
常见诱因
1、过劳
过重体力劳动、体育活动、连续紧张劳累等,都可使心脏负担加重,心肌需氧量突然增加,而冠心病患者的冠状动脉已发生硬化、狭窄,不能充分扩张而造成心肌缺血。剧烈体力负荷也可诱发斑块破裂,导致急性心肌梗死。
2、激动
由于激动、紧张、愤怒等激烈的情绪变化诱发。
3、暴饮暴食
不少心肌梗死病例发生于暴饮暴食之后。进食大量含高脂肪、高热量的食物后,血脂浓度突然升高,导致血黏稠度增加,血小板聚集性增高。在冠状动脉狭窄的基础上形成血栓,引起急性心肌梗死。
4、寒冷刺激
突然的寒冷刺激可能诱发急性心肌梗死。因此,冠心病患者要十分注意防寒保暖,冬春寒冷季节是急性心肌梗死发病较高的原因之一。
5、便秘
便秘在老年人当中十分常见。临床上,因便秘时用力屏气而导致心肌梗死的老年人并不少见。必须引起老年人足够的重视,要保持大便通畅。
6、吸烟、大量饮酒
吸烟和大量饮酒可通过诱发冠状动脉痉挛及心肌耗氧量增加而诱发急性心肌梗死
在生活中需注意
1、避免过度劳累
尤其避免搬抬过重的物品,老年冠心病患者可能诱发心肌梗死。
2、放松精神
愉快生活,对任何事情要能泰然处之。
3、洗澡时要特别注意
不要在饱餐或饥饿的情况下洗澡。水温最好与体温相当,洗澡时间不宜过长,冠心病程度较严重的患者洗澡时,应在他人帮助下进行。
4、气候变化时要当心
在严寒或强冷空气影响下,冠状动脉可发生痉挛而诱发急性心肌梗死。所以每遇气候恶劣时,冠心病患者要注意保暖或适当防护。
5、要懂得和识别心肌梗死的先兆症状并给予及时处理
心肌梗死患者约70%有先兆症状,主要表现为:
(1)既往无心绞痛的患者突然发生心绞痛,或原有心绞痛的患者发作突然明显加重,或无诱因自发发作;
(2)心绞痛性质较以往发生改变、时间延长,使用硝酸甘油不易缓解;
(3)疼痛伴有恶心、呕吐、大汗或明显心动过缓过速;
(4)心绞痛发作时伴气短、呼吸困难;
(5)冠心病患者或老年人突然出现不明原因的心律失常、心力衰竭、休克或晕厥等情况时都应想到心肌梗死的可能性。
上述症状一旦发生,必须认真对待,患者首先应卧床,保持安静,避免精神过度紧张;舌下含服硝酸甘油或喷雾吸入硝酸甘油,若不缓解,5分钟后可再含服一片。心绞痛缓解后去医院就诊。若胸痛20分钟不缓解或严重胸痛伴恶心、呕吐、呼吸困难、晕厥,应呼叫救护车送往医院。
心肌梗死后必须做好二级预防,预防心肌梗死再发。患者应采用合理膳食(低脂肪、低胆固醇饮食),戒烟、限酒,适度运动,心态平衡。坚持服用抗血小板药物(如阿司匹林)、β阻滞剂,他汀类调脂药及ACEI制剂,控制高血压及糖尿病等危险因素,定期复查。
心内一科专家介绍
王春梅 主任 主任医师 出诊时间:每周二、三上午
擅长冠心病,急性心肌梗死,心律失常射频消融、起搏器植入、心衰、高血压以及心内科急危重症的诊断与治疗,以及起搏器的程控和随访,特别是复杂性心律失常的诊断及治疗。
栾云柱 名誉主任 副主任医师 出诊时间:每周一、四、五全天
对心血管疾病的诊治有很深的造诣,对各种心脏病、难治性高血压、顽固性心衰、复杂性心律失常和急、危、重症的救治,经验丰富、系统规范,方法独特,效果显著。
石琳 副主任 副主任医师 擅长冠心病的择期及急诊介入治疗,可开展各种心律失常射频消融、冷冻消融、临时及永久起搏器植入术、IABP置入、先心病介入治疗。对冠心病、心绞痛、急性心肌梗死、心力衰竭、心律失常、心肌病、高血压等疾病的诊治以及心血管急、危、重症、疑难病例的诊疗方面经验丰富。