文章详情
付出是满足,给予是快乐
       2021年6月30日下午,我市58岁男患刘某,因胸痛持续1小时后就诊于急诊,接到急诊通知后,重症医学科团队迅速出动,前往急诊详细了解患者病情。在紧急初步检查后,重症医学科王秋艳主任、宋超副主任、于红波大夫迅速做出判断,并及时跟家属细述病情和治疗方案。于大夫为家属讲解了手术的过程以及尽早开通闭塞血管的重要性以及手术可能出现的风险,与此同时,护士也为患者采血化验等做好了一切术前准备,在取得患者及家属的同意后,他们将患者由急诊直接转入导管室,为血管的开通争取了宝贵时间。
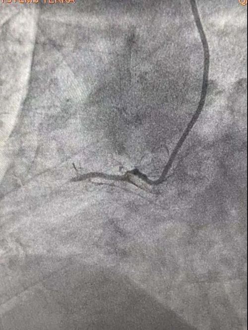
    患者胸痛明显,伴有大汗,造影显示右冠近段严重百分之百闭塞,手术过程异常艰辛。重症医学科王秋艳介入团队医生应用1.5*15球囊反复小压力扩张,现在摆在医生面前的难题是既要打开血流又不能将血管扩撕,1.5球囊扩张后应用替罗非班,再次应用2.0球囊低压力持续扩张,此时显影出现右室支,患者症状立即缓解,血流恢复。由于患者右冠细小,不适合做支架,所以决定回病房继续药物治疗。
     手术顺利结束后患者及家属刚入院时焦躁的情绪得到了安抚,重症医学科王主任医疗团队对疾病的判断能力和治疗技术也得到了家属的认可。
返回列表