文章详情
与时间赛跑,争分夺秒抢救脑卒中患者
      2021年3月14日上午,海港区66岁张大爷躺在军工医院神经内科病床上,缓慢的挪动着左腿,医生站在他身旁,耐心的进行指导。难以想象,1天前的张大爷正处于神志不清,左侧肢体完全瘫痪状态。
      3月13日清晨,张大爷在家中突发左侧肢体偏瘫,意识不清,家属立刻拨打了120。120急救医护将他送到秦皇岛军工医院。入院时张大爷神志不清,左侧肢体完全偏瘫,头颅CT结果显示有阴影,诊断为脑卒中。医生向家属询问患者病史,患者既往有右侧颈内动脉起始段斑块及右侧颞叶脑梗死,未遗留明显后遗症。医生考虑患者已发病2.5小时,应立刻采取溶栓治疗,为患者争取卒中抢救黄金治疗期。医生立刻向医务科汇报,同时启用脑卒中抢救绿色通道,与患者家属沟通后,立即采取静脉溶栓治疗。
     静脉溶栓治疗效果不明显,医生紧急启动介入治疗,为抢救患者生命争分夺秒。介入中心主任李光雷及副主任王振兴为患者急诊行血管造影检查,结果显示右颈内动脉起始段严重钙化斑块并闭塞。
右颈内动脉起始段严重钙化斑块并闭塞
    两位主任根据以往经验,考虑患者发病机制为右颈内起始部重度狭窄基础上急性闭塞,同时伴有血栓脱落造成动脉-动脉的右大脑中动脉闭塞,立即给予介入取栓治疗。
取栓程中,
导丝艰难寻找到闭塞颈内动脉的真腔
微导管进入颈内动脉颅内段
微量造影确认颅内血管闭塞
    为快速恢复患者颅内脑组织的灌注血流,抽吸导管在球囊辅助下应用“特洛伊木马”技术将抽吸导管快速通过右颈内动脉闭塞病变送至右侧大脑中动脉闭塞处,进行取栓操作。
取栓操作
    抽吸导管到右侧大脑中动脉闭塞处进行取栓操作。
    经取栓治疗后,原本闭塞不通的右颈内动脉-右大脑中动脉变得通畅无阻,但右颈内动脉闭塞处经球囊扩张成型后仍存在严重的“一线天”重度狭窄,随时可能在发生闭塞,与家属沟通后,决定为患者进行右颈内动脉支架植入彻底治疗病变。
    右颈内动脉支架定位后释放支架,血管成型良好。
    正侧位造影显示右颈内动脉-右大脑中动脉开通良好,血流恢复正常。
    取出的血管内长条血栓及白色颈动脉脱落的斑块
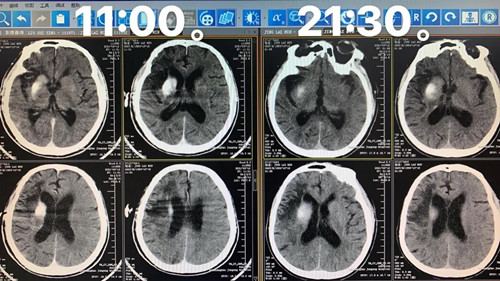
    术后即刻及术后10小时头CT显示右尾状核头核心梗死灶形成伴随造影剂滞留,无大面积脑梗死及颅内出血发生。
    术后24小时,张大爷左侧原本偏瘫的肢体恢复到3级的肌力,可以抬离床面,患者和家属都纷纷为医生竖起了大拇指,露出了灿烂和满意的笑容,相信张大爷在后期的康复治疗中能够进一步恢复肢体功能。
    秦皇岛军工医院介入中心于2019年开始独立完成神经介入的手术治疗,2020年科室独立完成了许多高难度神经介入手术,并得到了同行的高度好评及认可,2021年将是神经介入奋勇前进之年,神经介入团队成员心往一处想劲儿往一处使,各司其职,互相帮助,为建设好军工医院脑卒中绿色通道的目标而不断努力!

返回列表