文章详情
精准分析 科学研判—检验科为临床科室精确诊断提供依据
       海港区53岁女性患者20天前出现左侧胸痛、闷痛、咳嗽、咳痰,近日胸痛加重,并出现呼吸困难,来军工医院呼吸内科就诊。接诊医生为患者进行血常规检查,结果显示CRP:4mg/L,中性粒细胞比率:78.5%,WBC:13.5X10⁹/L,肺CT显示左侧胸腔积液,门诊以“胸腔积液”收住院。呼吸科医生抽取胸腔积液送到检验科,查抗酸染色,检验科细菌室工作人员按照操作规程对标本进行离心、涂片、染色、镜检。

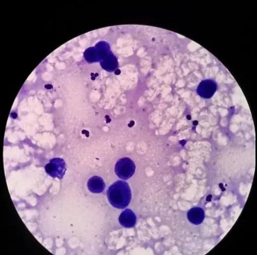
      因胸水标本抗酸染色阳性率较低,细菌室工作人员每次遇到胸水标本都会格外仔细镜检,镜检全片没有找到抗酸杆菌,但是发现细胞有些异常,抗酸染色不适宜观察胞浆和细胞核,于是脱色,进行瑞氏-姬姆萨染色,低倍镜和油镜下都能看到细胞形态确实异常。
01
02
03
      检验科医生杨茹立即联系呼吸内科医生,建议为患者做病理检查。经多次送检,胸水查脱落细胞,终于找到癌细胞,明确了诊断,最终诊断为左侧恶性胸腔积液、左侧液气胸,建议转肿瘤科继续诊治。
     军工医院检验科医生熟练掌握各种检验仪器操作流程,拥有扎实的理论基础和丰富的实践经验,通过精确分析、科学研判、转换思维、善于发现问题,为临床科室提供有价值的意见和建议,以便医生更早、更准确的判断病情,做出诊断。
     军工医院检验科是一个集临床检验、教学、科研为一体的综合性临床实验室。科室拥有临床基础检验、临床化学检验、临床微生物检验、临床免疫学检验、临床分子生物学检验等五个专业组,是市级医疗机构检验结果互认的临床实验室,是承德医学院、沧州医专教学实验室。检验科项目齐全,目前开展项目330余项。能够满足各临床科室诊治疾病的检验需求。
返回列表