文章详情
心内科成功完成首例冠脉支架内再狭窄药物球囊扩张术。
     
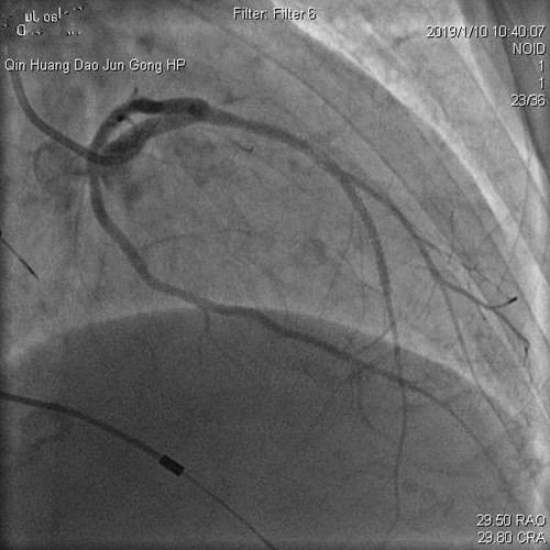
     2019年1月10日,心内科王春梅主任、王嘉玮主治医师与北京安贞医院李昭教授共同完成首例冠脉支架内再狭窄药物球囊扩张术。手术的成功,对心内科介入手术的开展和医疗技术的提升具有重要意义。
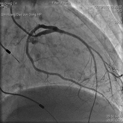
     患者杨某,女,74岁,因发作性胸闷到军工医院就诊。患者曾先后在某医院经冠脉植入过4枚支架及心脏永久起搏器,但是胸闷症状仍然没有解除。因杨某高龄、反复心梗、心衰,咨询多家医院均表示仅能药物保守治疗,拒绝为其行介入治疗。患者家属携带既往病历资料来军工医院咨询,心内科主任王春梅详细询问病情,积极与北京安贞医院李昭主任联系,详细查阅患者既往病历影像资料,考虑患者目前胸闷症状为前降支支架内再狭窄所致,有多次狭窄病变(病历资料显示狭窄病变为前降支两枚支架连接处的狭窄,既往因连接处狭窄已通过重叠植入支架治疗)。


     王主任考虑患者高龄,反复心梗,心功能差,手术风险高,难度大。患者前降支血管承担着几乎整个心脏的供血,再狭窄部位为前降支的关键位置,如果手术过程稍有不慎,将会危及生命,后果将不堪设想。


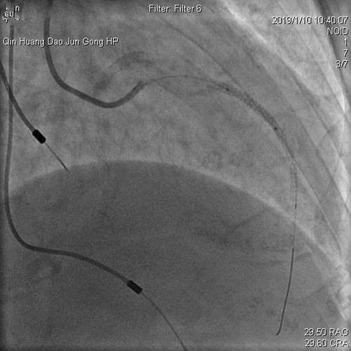
     经过反复沟通,向患者及家属详细讲解手术过程、风险及并发症。家属对军工医院表示信任,同意使用药物球囊治疗狭窄病变。经过近1小时的手术,成功为患者放入了药物球囊。出院2周后医生随访,张某病情平稳,无胸闷、胸痛症状。患者和家属对军工医院心内科王春梅主任勇于担当和技术精湛的医生团队表示感谢。


什么是药物球囊?

药物球囊是一种新技术,它通过表面涂抹紫杉醇的特殊球囊在血管内扩张后可将药物均匀分布于血管壁上,从而做到不植入支架却能解决患者血管狭窄问题,心内科称之为“隐形支架”。不需要在血管内植入材料,而且恢复快。

药物涂层球囊是如何发挥治疗作用的?

治疗时,采用传统心脏介入手术将药物涂层球囊送达病变部位,扩张时球囊贴附于冠状动脉血管壁,携带的抗增生药物被快速、均匀地传递到血管壁中,以抑制血管内膜增生,从而发挥治疗作用。

药物涂层球囊的临床疗效与支架相当?

在近万例患者中,国内外数十项临床研究一致证实,无论是采用血管造影指标(短期结果)还是临床事件(长期结果)进行评价,药物涂层球囊治疗冠脉病变的疗效均与植入支架相当,可作为介入治疗植入支架的替代选择或有益补充。

药物涂层球囊可用于哪些治疗患者? 

目前,药物涂层球囊主要用于支架再狭窄、冠状动脉小血管病变、冠状动脉分叉病变的介入治疗。此外,药物涂层球囊还可用于下列人群:容易出血的患者、正在口服抗凝药物(如华法林)或近期进行外科手术的患者,以及拒绝体内植入异物的患者。

药物涂层球囊的“介入无植入”具有以下优势:

☆ 无金属骨架的植入,无聚合物基质,能有效减少慢性炎症反应和晚期血栓形成,疗效好;

☆ 无支架遗留,保留了后续治疗的机会;

☆ 无任何外来异物残留,不改变血管解剖形态,不影响血流模式,对治疗小血管病变和分叉病变更有利;

☆ 缩短术后阿司匹林、氯吡格雷、替格瑞洛等抗血小板药物治疗的时间,降低了出血风险;

☆ 患者更安心,轻松应对疾病。


     心内科是集医疗、教学为一体的综合科室。科室共有医护人员26人,主任医师1人,副主任医师2人,主治医师7人,硕士研究生4人。科室人员曾多次到北京协和医院、阜外医院、安贞医院等著名医院进修学习。科室人员业务素质过硬,技术力量雄厚,在长期从事心内科临床诊疗工作中,对治疗高血压病、冠心病、心绞痛、心肌梗死、心肌病、风湿性心脏病、心力衰竭、各种心律失常等方面经验丰富。目前本科能开展冠状动脉造影术和择期冠状动脉介入治疗(PCI)术、心内电生理检查、心律失常射频消融术,永久性心脏起搏器植入术等心脏介入诊疗技术,以及心脏永久起搏器的程控和随访。

      心内科配有先进的医疗设备:遥控心电监测仪、除颤仪、动态血压检测仪、动态心电检测仪、无创呼吸机等。心脏介入室配有美国GE大C臂平板血管造影(DSA)机,64排螺旋CT,心脏多导电生理记录仪, 主动脉内球囊反搏泵(IABP)等大型先进医疗设备。

     近年来,心内科与北京安贞医院、北京阜外医院的专家建立了紧密的合作关系,方便了秦皇岛地区广大心脏病患者,使就诊患者不用去北京就能享受北京医院心血管专家的服务。北京安贞医院的心血管专家每周四定期来军工医院会诊、手术(冠脉造影术、冠脉内支架植入术),北京阜外医院专家可预约来院行心律失常射频消融术、心脏起搏器植入术。

返回列表