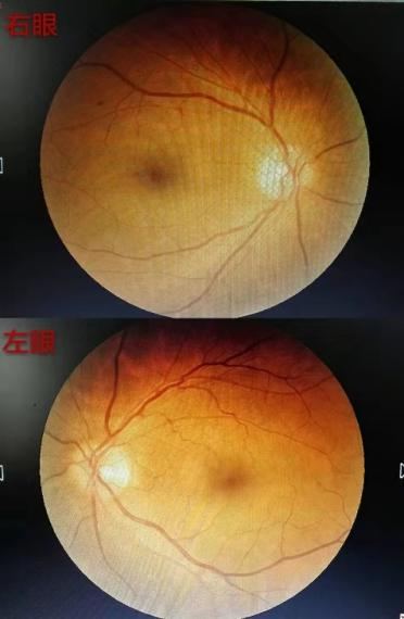
2017年11月的一天,47岁的于女士来到秦皇岛军工医院眼科门诊,接待她的是朱大夫。于女士说:“我是一名会计,平时工作用眼较多,有过视力下降的情况,但重新配副眼镜就好了,最近又出现视力下降,眼镜店的人却说给我配眼镜也提高不了视力了,所以我才来医院看看怎么回事。”听了于女士的描述,朱大夫对其进行了详细检查。患者裸眼视力右眼0.2,左眼0.3。矫正后右眼0.8,左眼1.0。双眼前节未见异常。散瞳后行眼底照相,见右眼视网膜有数颗微血管瘤及点状出血。如图:

进一步追问病史,于女士有糖尿病病史5年,平时口服降糖药物治疗,现血糖控制平稳,但从未进行过眼底检查。朱大夫为于女士进行双眼荧光素钠眼底血管造影检查,结果显示:双眼糖尿病视网膜病变Ⅱ期。双眼荧光素钠眼底血管造影如图:

“您现在的主要问题不是屈光不正,而是双眼糖尿病视网膜病变,也就是我们常说的糖尿病并发症。是眼底的改变造成了您视力下降。幸运的是您的眼底改变属于早期改变,通过药物治疗就能恢复视力。但治疗眼睛的同时要控制好血糖,并且3个月到半年复查一次眼底,预防糖尿病视网膜病变发展为增殖期,也就是晚期的改变,从而导致视力的不可逆降低,甚至视力的永久丧失。”于女士听了朱大夫的解释恍然大悟,同时庆幸自己发现及时。
眼睛是探索美好的必要工具,对于对生活质量要求越来越高的现代人来说,拥有一双明亮的眼睛显得尤为重要。但随生活水平的提高,糖尿病人群日益增多,随之而来的严峻挑战是对糖尿病并发症的早发现、早诊断、早治疗。糖尿病视网膜病变在临床上分为6期:1期眼底出现微血管瘤,这种微血管瘤不是真正的瘤子,而是眼底毛细血管管壁膨出而成;2期则在微血管瘤基础上出现了硬性渗出或点片状出血;3期的特征是软性渗出的出现;4期是增殖性视网膜病变的开始,从这一期开始可由于新生血管的存在造成大量出血,甚至发展成为有玻璃体积血和机化膜的5期、视网膜脱离的6期,造成视力的永久丧失。在临床上,人们往往由于血糖控制良好或视力没有明显下降而忽视了眼部检查。但早期糖尿病视网膜病变往往出现在视网膜的周边,待患者视力有明显改变再来检查时,眼底已经有明显改变甚至发展为严重影响视力的增殖期,错过最佳治疗时机,造成视力不可逆恢复,导致患者失去重见光明的机会,抱憾终生。所以建议糖尿病患者一年检查一次眼底,如已有糖尿病眼底改变的患者,则3个月到半年检查一次眼底。
糖尿病可以引发很多并发症,在眼部的表现更是多种多样,除了警惕眼底改变,糖尿病患者还应警惕糖尿病性白内障、麻痹性斜视等疾病。秦皇岛军工医院拥有康华瑞明眼底彩色照相、造影一体机,能早期发现、诊断糖尿病视网膜病变。Laurete超声乳化仪,能治疗糖尿病性白内障、年龄相关性白内障等。秦皇岛军工医院欢迎您的到来,还您一双明亮的眼睛!

